Prof. Dr. med. Thilo Patzer Orthopädie und Unfallchirurgie Spez. Orthop. Chirurgie, Sportmedizin
Prof. Dr. med. Thilo PatzerOrthopädie und UnfallchirurgieSpez. Orthop. Chirurgie, Sportmedizin 

Hier finden Sie mich

Kontakt

Kontaktanfragen bitte an:

thipa@me.com

Sprechstunde

Spezial-Sprechstunde für

Schulter-Ellenbogen-Erkrankungen

und

minimalinvasive arthroskopische Therapieverfahren (Gelenkspiegelung)

Knorpelersatz-therapie

Für die Therapie von Knorpelschäden bin ich für das Codon-System offiziell zertifiziert.

 

Arthroskopische Entnahme körpereigener Knorpelzellen aus einer unbelasteten Gelenkzone und

arthroskopische Implantation der körpereigenen im Labor vermehrten Zellen ca. 6-8 Wochen später.

 

Diese Therapie wird von mir am Knie-, Schulter- und Ellenbogengelenk arthroskopisch durchgeführt.

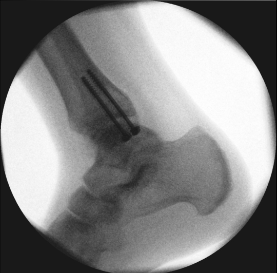
Am Sprunggelenk erfolgt ein kleiner Schnitt mit Abklappen des Innenknöchels.

Arthroskopische autologe Knorpeltransplantation am Knie (AACT)
Arthroskopische autologe Knorpeltransplantation am Knie (AACT)
Offene ACT am Sprungbein (Talus) mit Abklappung des Innenknöchels (Osteotomie)
Röntgenbilder nach stufenlosem Verschrauben der Innenknöchel-Osteotomie
Druckversion | Sitemap
© Homepage-Titel